-
2022年1月,在一附院领导的大力支持,广西名中医郝小波工作室团队全体编写人员的共同努力下,《郝小波中医眼科临床经验集》一书正式出版。 本书主要从医学小传、学术特长与学术思想、各病论治和论文荟萃4个方面,总结郝教授从医30余年来关于20余种眼病的中医证治经验,重点论述郝教授“辨证与辨病论”“因气致病论”“阳常不足论”“情郁目论”“内外兼治法”等学术思想,突出中医治疗疑难性眼病、免疫性眼病的特色,结合广西的...01.122022
-
1月10日下午,贵港市覃塘区卫健局副局长吴聚成带领覃塘区人民医院、樟木中心卫生院相关领导班子成员及科室负责人,来我院参观交流。院长岳桂华,副院长李继清、唐盛军及相关科室负责人陪同。 双方就医院项目开展、建设经验、人才培养、学科建设与发展、壮瑶医技法培训及提升医院综合服务能力等方面进行了交流。 当日,吴聚成一行到门诊大厅、门诊四楼民族医学特色诊疗中心、空中花园(壮锦苑)等处参观,实地了解医院建设、壮瑶...01.112022
-
新病区、开新局。2022年1月10日上午9时18分,广西国际壮医医院耳鼻喉科病区正式揭牌启用,病区位于住院部7楼东侧(与颅脑外科病区合用)。医院全体领导班子成员出席,各临床科室、职能部门代表到场祝贺。 耳鼻喉科病区揭牌仪式现场 院领导与科室负责人共同切蛋糕庆祝耳鼻喉科病区启用 院党委书记秦祖杰表示,新病区的发展与建设要始终坚持党建引领,坚持“壮瑶医药为特色,中医药为基础,现代诊疗技术为保障”的医院定位,在保...01.112022
-
18岁少女因患先天性心脏病,只能靠手术延续生命,而她超高的肺动脉高压,让手术变成“禁区”。日前,附属瑞康医院胸心血管外科为她实施手术,成功“补心”,再创奇迹。 12月的广西南宁,温暖如春。附属瑞康医院胸心血管外科病房入住了一位比较特殊的病人,一个半中国半越南血统的18岁姑娘小梅,父亲早逝,由越南母亲在广西抚养长大。 18岁的年龄本该满怀着对未来的憧憬,但不幸的是,她在两年前诊断出了先天性心脏病——干...01.112022
-
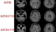
2021年初,家住南宁的陈老伯突然出现剧烈头痛,并伴有脑部昏沉感、行走不稳,起初陈老伯不以为意,认为是自己没休息好或受凉引起,可出乎他意料的是,头痛的症状竟一天比一天严重。1月9日,陈老伯终于无法忍受剧烈的痛楚,家人赶紧将他送至家附近的医院,经头颅CT检查,提示脑内多发囊实性病变,性质暂时不明,于是给他开了几天的对症口服药物,可陈老伯服药后头痛症状非但没有缓解,还出现了恶心、呕吐等症状。医院在给陈老伯...01.112022
-
为广泛听取群众意见,提高医疗服务质量,推动医院更好发展,1月7日下午,附属瑞康医院在中心会议室召开2021年度社会监督员座谈会,来自Beat365中国唯一官方网站、广西大学、南宁市华强小学、南宁铁路局以及医院退休干部职工等8名本届社会监督员参加了座谈。医院院长唐友明、副院长韦思尊及相关职能科室负责人参加会议。 唐友明首先对社会监督员们的到来表示热烈欢迎,并从医院发展、疫情防控、社会责任等方面向社会监督员介绍了医院2021...01.082022
-
1月6日,新年伊始,一附院“轮值村医”团队专家如约而至,继续走进一附院定点帮扶村隆安县南圩镇联伍村,为当地村民送上优质中医服务,让当地的老乡足不出村就能得到省级中医医院专家近距离的健康指导与问诊治疗。 活动当天,一附院第六十批“轮值村医”专家脑病科一区蔡伦主任医师、脾胃病科一区王伟副主任医师、肝病科二区李媛副主任医师、仁爱分院针灸科尹梅主治医师,刚到卫生服务中心,就马不停蹄地为前来就诊的村民问诊、...01.082022
-
自荣获2020年度征兵工作先进单位后,广西国际壮医医院又获2021年度征兵工作优秀体检站荣誉。1月7日,2022年良庆区春季征兵工作动员部署暨2021年征兵工作总结表彰会在良庆区人民武装部举行,院长岳桂华、副院长李铭到会接受表彰。 2020年8月,良庆区人民武装部把“良庆区征兵体检站”设在我院健康管理中心。征兵体检站设立以来,在院领导及全院医务人员的努力下,我院高标准完成了1351人次征兵体检任务,送兵246人。除征兵体检外...01.072022
-
1月6日下午,广西国际壮医医院副院长李继清率队到南宁市邕宁区中医医院开展壮医联盟成员单位交流活动,双方就人才培养、学科建设与发展、提升医院综合服务能力等方面进行了交流。双方各临床、医技药科室负责人还结队深入临床一线,进行了实地考察交流。 李继清率队开展交流活动 交流会现场 科室负责人深入临床考察交流01.072022
-
为进一步强化党支部书记作为基层党支部抓党建工作第一责任人职责,推动党支部全面进步、全面过硬,2022年1月6日下午,一附院党委在办公楼六楼行政会议室召开2021年度党总支书记抓党建工作述职评议考核大会。一附院领导桂雄斌、谢胜、吴西西、周广林、毛德文,各党支党员代表出席会议并对总支书记进行考核评议。会议由一附院党委书记桂雄斌主持。 一附院10位党总支书记分别围绕思想政治建设情况、党建工作责任履行情况、党支部建...01.072022

单点登录
账号密码登录