一附院外六科成功开展“急性脑卒中患者的急诊器械溶栓、取栓手术、”
近日,一附院神经外科(外六科)成功对一名上矢状窦血栓患者,实施了微创介入手术,经动、静脉途径进行溶栓治疗,手术成功并挽救了患者的生命,临床治疗效果满意。日前患者已经痊愈出院。
患者闭某,女性,35岁,因产后十余天,进行性头痛就诊收入我科,患者头颅CT证实颅内多发出血灶,静脉窦栓塞可能。患者入院后头痛呈进行性加重,出现反复癫痫,病情危重。我科张高炼主任医师、黄建荣副主任医师查看病人后认为患者属于上矢状窦栓塞,是急性脑卒中的一类,而且已出现梗塞性出血,保守治疗效果极差,既往无血管内治疗的情况下死亡率高达80%以上,即使存活患者也会有严重的神经功能障碍甚至长期昏迷可能,如进病情一步发展,患者势必因颅内高压、梗塞性出血,甚至引起脑疝而导致死亡。
经与患者及家属充分沟通并获得同意后,外六科脑血管病介入治疗团队立即为患者行全脑血管造影,造影结果证实上矢状窦血栓形成,整个上矢状窦完全闭塞,若不采取措施病情很快就会恶化。再次征得家属同意后果断采取微导管介入手术治疗,手术在起病后当晚开始,由于患者血栓位置深在,需要经动、静脉双重途径置管,技术难度较大。术者选取Solitaire支架( 美国 公司)置入微导管远端,释放支架并在原位作短暂停留使支架与血栓充分接触并黏附,一起回撤支架与微导管取出血栓,手术一直持续到第二天凌晨。术后留置导管一条,用于每天以药物继续溶栓。术后患者即清醒,头痛明显缓解,无神经功能缺失。手术第二周时患者已经能够生活自理。2015年12月12日患者痊愈出院。
脑卒中是危害我国人民身心健康和生命安全的三大疾病之一,其发病率、致残率、死亡率和复发率均很高,缺血性脑卒中是其最主要的类型。大动脉阻塞引起的卒中有更高的致残率与死亡率。尽管治疗的手段各式各样,但及时开通闭塞血管和重建颅内灌注是成功治疗超早期缺血性卒中的关键。
感染、免疫反应、孕激素水平急剧改变和各种原因造成的血液粘稠度异常增高而引起的颅内静脉系统广泛或局部大的血栓形成,使脑血液循环在静脉期受阻,引起脑组织内静脉血淤滞,可出现脑肿胀、脑出血; 病情严重可导致偏瘫、失明甚至死亡。简单地讲就是大脑血液循环的“出口”被血栓堵塞,致使静脉压力增高、颅内高压,随时有发生脑疝的可能。死亡率高达82%。
采用微导管介入技术治疗颅内静脉窦血栓,经过国内外大医院临床证实疗效满意。该技术需要在一定规模的医疗机构开展,并由经专业培训的专科医师负责实施手术。因手术难度大、对手术医师技术要求很高,目前在广西范围内还鲜有成功报导。
微导管介入技术经动静脉取栓、溶栓治疗上矢状窦血栓获成功,这是一附院外六科(神经外科)在颅内动脉瘤介入治疗方面突飞猛进的同时,又一次在微创外科技术上实现零的突破,填补了我院在微导管介入技术经动、静脉联合取栓、溶栓治疗颅内静脉窦血栓的空白,代表我院在微创神经外科领域应用微导管介入技术上已达到区内先进水平。

入院CT:脑弥漫点状出血

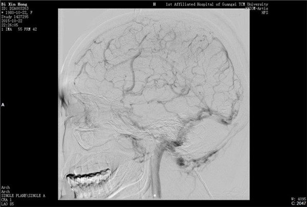
急诊脑血管造影:上矢状窦闭塞

左颈静脉入路

微导管置入上矢状窦

支架取出血栓

术后上矢状窦恢复通畅

病人治愈出院

单点登录
账号密码登录