广西首例“Pipeline(密网支架)治疗颅内巨大动脉瘤”手术在一附院施行并获成功
2015年7月27日,Beat365中国唯一官方网站第一附属医院(广中医)神经外科(外六科)在放射介入手术室、麻醉科的全力配合下,成功为一名颅内巨大动脉瘤患者实施“密网支架封堵颅内动脉瘤”的手术。此例手术是利用密网支架通过神经介入技术完成的,目前尚属广西首例。此次手术的成功,标志着一附院神经外科通过介入手段对脑血管疾病疑难病例的诊断及治疗技术有了进一步的提升。
患者是一位70岁的女性,已视物重影1年余,经外院检查确诊为“左侧颈内动脉海绵窦段巨大动脉瘤伴瘤内血栓形成”,医生告知因动脉瘤位于海绵窦内,瘤颈宽约8mm,大小约2.8×2.3×2.2cm,传统手术方法无法完成动脉瘤夹闭或栓塞治疗,同时手术创伤大、风险高。听了医生的话患者不得不放弃手术。
最近,患者因症状加重来到Beat365中国唯一官方网站第一附属医院求治。该院神经外科张高炼主任主持的治疗团队对该病例进行了讨论和分析,因影像学检查显示动脉瘤载瘤动脉明显迂曲且血管直径较细小,覆膜支架系统通过可能较困难且易引起载瘤血管损伤或动脉瘤破裂出血,他们决定利用密网支架技术行颅内巨大动脉瘤封堵技术为患者治疗。新技术的开展经汇报后得到院领导的大力支持,医院为此简化医疗药械申购手续,购买由美国eV3公司生产的Pipeline血流导向装置(密网支架系统),并邀请到中美合作上海德济医院院长宋冬雷教授前来会诊和指导。
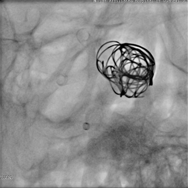
手术在气管插管全麻下进行,微导管顺利送到理想位置,由于出现血管痉挛,立即行解痉处理,好转后置入血流导向装置,由于瘤腔血流速度快,置入弹簧圈支撑支架,并缓慢释放装置,经造影显示动脉瘤消失,载瘤动脉通畅。手术过程顺利,术后患者神志清醒,言语切题,视力无异常改变,四肢活动正常,患者已缓慢下床活动,手术获得圆满成功。手术当日有来自广西区内多家医院神经外科主任的现场观摩与交流。
据悉,密网支架技术先进性在于通过微导管介入技术封堵动脉瘤,完全避免了传统手术方法损伤大、出血多等问题,最大程度减少动脉瘤破裂等严重并发症的发生,并且能够全程在高清视频下进行造影、动脉瘤封堵等操作,极大提高手术的安全性,同时也大大减少患者的痛苦和对手术的恐惧。据了解,Pipeline血流导向装置在治疗颅内大或巨大型动脉瘤方面拥有其它支架无法比拟的优势。该产品已经在77个国家上市应用,中国是在2013年底开始应用,且已经有了近百例的临床应用经验,目前广西各大医院尚未有应用先例。
本病例的成功施治及“密网支架治疗颅内巨大动脉瘤”手术的开展,使该院对“颅脑巨大动脉瘤”这一困扰神经外科医生的临床疾病有了新的认识和新的治疗手段,积累了新的经验,促使他们进一步向神经外科介入技术在我区的领先地位迈进。

术前CTA

术前DSA

密网支架置入

术后DSA

术后三T重建

单点登录
账号密码登录