【附属国际壮医医院】速度!31分钟开通“生命之路”
急性心肌梗死是心血管急危重症,一旦发生,患者心脏随时可能停跳。此时,时间就是心肌,时间就是生命,能否在2~3小时内及时开通被堵塞血管,对病情至关重要。
近日,广西国际壮医医院心病科便成功抢救了一名急性心肌梗死患者。心病科主任徐先增表示,抢救成功的关键不仅在于抢救本身,更在于“双绕行”(绕行急诊抢救室、绕行心病科监护病房)急救流程的正确实施。
65岁患者突发胸痛,国壮医生迅速诊断
一个多星期前,65岁的杨先生因“持续性严重胸痛”拨打120急救热线,被救护车送往广西国际壮医医院。
情况紧急,国壮心病科医生通过电话与护送医生及杨先生紧密沟通,详细了解病情,并于13时23分将心电图检查结果发送至“胸痛中心信息数据交流群”。徐先增结合检查结果,诊断杨先生的胸痛为急性心肌梗死所致,当即给予用药指导,并建议立刻进行冠状动脉造影检查以明确诊断及开通血管。
启动“双绕行”流程,31分钟极速开通血管
取得杨先生同意后,国壮心病科、介入科导管室医护人员迅速启动“双绕行”急救流程,即绕行急诊抢救室、绕行心病科监护病房。13点40分救护车抵达后,医护人员直接将杨先生送入介入科导管室实施介入治疗。
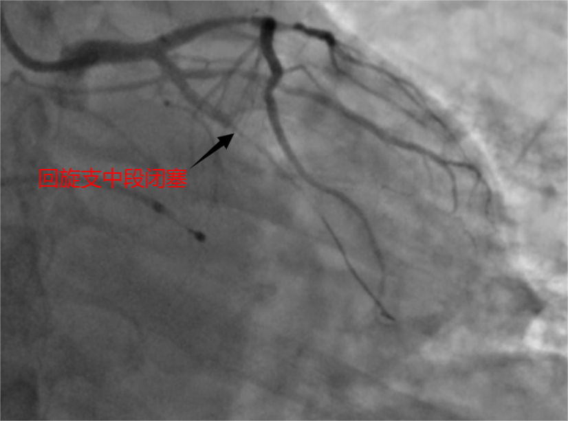
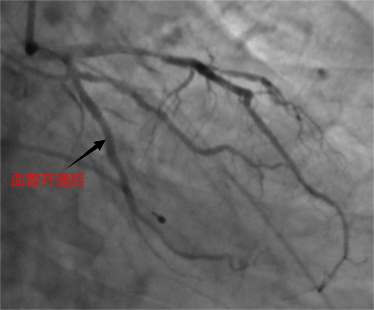
介入中,徐先增团队查出,杨先生的急性心肌梗塞由回旋支中段闭塞引起,于14时11分成功将血管重新开通,并为其植入一枚支架。从患者到达医院到血管开通,仅用时31分钟,远低于抢救标准所要求的90分钟,刷新了医院救治急性心肌梗死血管开通时间记录。术后复查造影显示,支架贴壁良好,无残留狭窄,杨先生生命体征平稳,胸痛症状消失。

患者急性心肌梗塞由回旋支中段闭塞引起
14时11分成功将血管重新开通

科普多一度:必不可少的“双绕行”急救流程
据悉,“双绕行”急救流程综合利用了标准化流程和绿色通道,将院前诊疗前移,缩短了急性心肌梗死患者手术的等待时间,在最短的时间内使患者闭塞的血管恢复畅通,提高抢救成功率和预后生活质量。
为及时发现和处理急性心肌梗死,广西国际壮医医院自2023年4月26日起正式启动胸痛中心创建工作,目前已制定相关流程图25个,开展院内培训9次,典型病例分析会2次,社区培训2次,区域协同救治培训4次。心梗患者就诊后,心病科医护人员将围绕“双绕行”急救流程开展抢救各项工作,迅速开展诊疗评估,快速实施冠状动脉造影检查,发现、开通闭塞血管,最大程度挽救患者生命。

单点登录
账号密码登录