小小的她,心脏却塞满了半个胸腔——瑞康医院心胸外成功完成一例4.5kg幼儿室间隔缺损修补术
看着躺在病床上黑眼睛滴溜溜地转得机灵的小鑫怡,要不是她鼻子里还插着管子,你真的无法相信这是个刚动完大手术的孩子,她可爱得跟正常孩子无异。而从心胸外科张红护长口中知道她的年龄后,又让人格外心疼起她来,因为小鑫怡已经十个月大了,却还只有4.5kg重,一般十个月大的孩子,发育良好的话,都能有10kg重了。她的主刀医师杨柳山副主任医师在特护病床前摸摸她小小的头:“看,她的脑袋都只有一个成人的手掌般大。”原来,因为小鑫怡患上了先天性心脏病中的室间隔缺损,导致她自出生后就一直断断续续患病,平素就感冒发热较多,偶尔还会患上“支气管肺炎”,长期体弱让她严重营养不良,生长发育比普通孩子慢了好多。
其实,早在小鑫怡五个月大时,某次又患上感冒咳嗽,爸爸妈妈带她到医院检查体检时就发现她有“心脏杂音”,但是由于年龄小,体重轻未做进一步治疗。今年3月,小鑫怡再次因“支气管肺炎”被送进医院,做进一步心脏彩超检查时发现她患有“先天性心脏病-室间隔缺损(膜周型)、室水平双向分流、动脉导管未闭、三尖瓣重度返流、肺动脉高压”,同时由于营养不良还患有鸡胸畸形。小鑫怡的爸妈吓坏了,赶紧在当地医生的指点下来到省城大医院治疗,这才找到了瑞康医院心胸外科的专家。
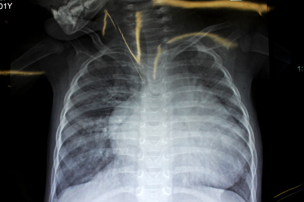
“别以为她的人小,心脏就跟着小,因为患了严重的心脏病,小鑫怡心脏却大得像个大大的皮球!”在心胸外科医生办公室,杨柳山副主任医师向笔者展示了小鑫怡的X光胸片,只见小小的胸腔里,一团白色心脏阴影几乎占满了半个胸部的视野,那是小鑫怡的心脏,就是这颗发育异常的心脏,让小鑫怡降临到这世上的10个多月里,吃尽了苦头。
杨柳山副主任医师介绍说,小鑫怡的问题是一种先天性的心脏畸形,是由于膜心脏室间隔缺损造成的,而正常人心脏的室间隔组织是完整的。当存在有室间隔缺损时,由于左右心室的压力不等,会使心脏中的血液产生由高压力的左心室向压力相对低的右心室分流,医学上称为左向右分流,分流量取决于缺损的大小,左、右心室压力阶差及肺血管阻力。这样肺部除了接受正常的血液外,额外多接收了左心室向右心室分流来的血液,随着肺循环血流量增高的持续存在,肺小动脉痉挛产生肺动脉高压,最终导致心脏增大。由于小鑫怡的室间隔缺损较大,因此才会导致她的心脏异常肥大。杨柳山副主任医师指出,这类病人,当出现肺动脉高压时,就提示病情已进入严重阶段,往往增加了手术的风险;而最好的手术时机是再出现肺动脉高压前,这时候手术风险低,更重要的是手术的远期效果最好。另外,小鑫怡并没有出现先心病患儿常见的紫绀现象,这也提醒了广大新生儿家长,不要认为没有明显症状就是无大碍,如果幼儿经常出现感冒发烧反复的症状,就要及时就诊,排查病因。
在小鑫怡入院后第五天,完善好相关检查和准备后,心胸外科的全体专家开展了一次全科讨论,确定了小鑫怡的病情,拟定了周密的手术计划,吴文森主任特别强调,术中应仔细探查,避免遗漏其他心内外畸形;术中应尽量缩短使用体外循环时间,术后加强护理,以确保手术安全,术后顺利康复。杨柳山副主任表示,尽管患儿年龄小,体重轻,病情重,但手术是唯一能挽救患儿的机会,小鑫怡不能再拖下去了,因为心脏彩超检查提示心脏缺损处的血液分流已发展到双向分流,属重度肺动脉高压,再拖下去就会失去最后的手术机会。虽然手术难度大,风险相对高,但只要手术科、麻醉科及体外循环科等多学科密切配合,手术成功的机会还是很大的。
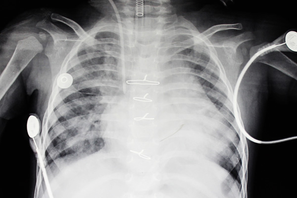
隔日,小鑫怡于下午被推入手术室,经过紧张的几个小时,她的手术顺利完成,安返ICU特护病房。术后第三天,她病情平稳,已经可以拔除气管插管自主呼吸。笔者在小鑫怡术后第四天看到她躺在病床上的样子,显得精神很好,再观察她术后复查的胸片,可看到心脏的大小已经明显小了一圈。小鑫怡出院前三天,即术后第十天时,笔者再去病房探访,她已经从特护病房转到了普通病房,只见小鑫怡的妈妈开心地抱着她坐在床边玩,她水灵灵的眼睛好奇地张望着笔者手中的相机,全然没有病态的模样,令人倍感欣喜。
据悉,全区可以进行5kg以下幼儿先天性心脏病手术的医疗机构仅寥寥几家。从吴文森主任处了解到,瑞康医院心胸外科近几年已常规开展了5公斤5个月以下的婴幼儿先天性心脏病的各种手术治疗,总手术例数近100例,手术效果可称鼓舞人心。通过医护人员的爱心及双手,挽救了一个个先心患儿,修复好一个个原本残缺的心脏,还这些患儿一个完整的人生。吴文森主任还特别指出,目前瑞康医院心胸外科对于患病的先心患儿,由于整个治疗团队技术水平的提高,已完全没有年龄及体重的限制,从而得以为广西及区外的广大先心患者带来康复福音。

小鑫怡由于长期营养不良,显得特别瘦小

小鑫怡术前的X光胸片,可以看到心脏大得像个球

小鑫怡术后的X光胸片,可以看到心脏小了一圈

小鑫怡的妈妈开心地抱着手术成功的小鑫怡

单点登录
账号密码登录