TAVR+中医药诊疗,心脏病高危患者实现不开胸换“心门”
中西医协同 攻克重症疑难疾病
随着人口老龄化,人们因为高龄而出现心脏疾病问题的情况在不断增多。心脏被喻为人体最精密的“发动机”,是人类最重要最复杂的器官之一,如果发动机的关键零件出现故障,必然会影响到整体功能,给人们身体和生活带来很大负担,甚至对身体健康和生命安全造成严重威胁。
近日,在中西医协同救治下,一附院中西医协同创新心血管团队——心血管内科二区何贵新教授团队又完成了一例TAVR手术,成功为合并风湿性心脏病二尖瓣狭窄机械瓣置换术后重度主动脉瓣狭窄的患者李某某实施了微创的经导管主动脉瓣置换术。
TAVR,即经导管主动脉瓣置换术,是一种微创介入导管技术。手术全程中患者处于全麻/局麻状态,穿刺股动脉的血管,在皮肤上仅留下较小的伤口,手术出血少,术后恢复快。
01
高难度、不多见 多学科协同共同攻克技术瓶颈难题
据了解,这是一例在业界少见的高难度、高风险主动脉瓣置换术。2002年第一例TAVR手术在法国开展完成,2010年这项在介入心脏病研究领域极具创意的技术正式引入我国,近两三年在我国一些三甲医院逐渐开展,但像李某某这样的病例不多见。
患者是一名高龄老人,在10年前心脏做过一次风湿性心脏病二尖瓣狭窄机械瓣置换手术,术后长期胸闷气喘,病情逐渐加重,生活质量严重受影响。他曾多次在其他医院进行相关治疗,但都效果不佳。进入一附院后,经过系统检查,其被诊断为“主动脉瓣重度狭窄”。
什么是主动脉瓣狭窄?
主动脉瓣狭窄(Aortic Stenosis,AS)是一种常见的瓣膜性心脏病,其发病率随着年龄的增长而逐渐升高。流行病学研究显示,大于65岁人群中AS发病率约2%,而在85岁以上人群中占比达4%,不规范诊疗患者的5年死亡率更是高达80%。
“正常的主动脉瓣大小为3-4平方厘米,而患者李某某只有0.9平方厘米,意味左心室血液无法正常进入主动脉,左心室长期高负荷状态。”一附院心血管内科二区主任、TAVR技术团队负责人何贵新教授介绍,每个人的心脏通常约有自己拳头大小,对机体而言如同一台发动机,而主动脉就是发动机里的油管。主动脉瓣膜狭窄,会造成严重供血不足,可能会导致心梗、心衰、恶性心律失常、脑梗塞、猝死等后果。
面对这样高龄、合并糖尿病、房颤等多种严重慢性疾病且合并风湿性二尖瓣机械瓣置换术后的患者,外科手术风险极高,存在着明显禁忌症。而高精尖技术经导管主动脉瓣置换术(TAVR)可以不开胸、并发症少、康复快,经导管植入人工瓣膜给患者带来新的希望。

多学科会诊(MDT)并进行术前风险分析
“这一场手术最大的挑战和难点,是来自病人之前做过二尖瓣机械瓣置换术。”何贵新教授多次组织了院内多学科联合会诊(MDT)并进行术前风险评估及术后规范管理方案的制定,参与专家一致认为,需要关注术中瓣膜释放位置。
何贵新教授解释:“一是人工瓣膜要放好位置,既要保证它位置的稳定性,同时保证它的功能正常。二是不要影响到之前二尖瓣机械瓣的开放,如果人工主动脉瓣置入过低,可能会把之前二尖瓣卡住了,无法正常开放;如果过浅了,人工主动脉瓣膜不稳定,可能会‘飞掉’。”

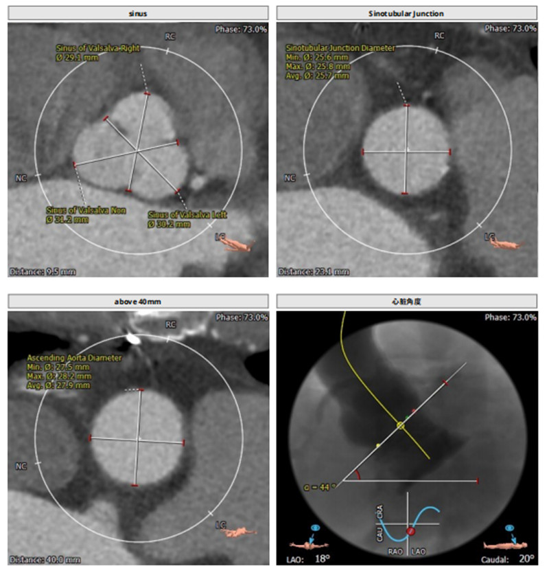
术前瓣膜结构评估

术前入路评估
一附院对勇于治疗疑难危重心血管疾病、运用中医药协同新技术TAVR技术给病人带来新生,表示强烈支持。何贵新TAVR团队及麻醉科、重症医学科、导管室、放射科、超声科、胸心血管外科等多学科专家团队对手术方案进行了反复的讨论,对可能出现的各种情况准备了完善的应急预案。
最后,患者及家属理解并同意介入手术,手术为心血管内科二区何贵新教授主刀,吴成强主治医师、秦伟彬医师为助手,由麻醉科银世杰主任医师团队、超声科刘雪玲主任医师团队、介入导管室王雪娟副主任护师团队、重症医学科梁道业主任医师团队组成的多学科团队共同完成。
02
全方位、多靶点 中西医协同彰显诊疗优势
心脏疾病手术是一项复杂的技术工程,是目前人类风险最高、技术最复杂的手术。长期以来,一附院大力开展中西医协同创新诊疗,术前、术后围手术期给予患者中西医协同诊疗,任何环节一丝不苟。
多学科团队为患者制定了中西医协同个性化精准诊疗方案,凭借周密的术前策略、团队之间高效配合、扎实的手术操作技术,历时一个多小时,手术最终圆满完成。患者术后胸闷、气喘得到明显改善,各项生命征平稳,心脏各项指标得到明显改善,无并发症的发生。

术中情况

手术顺利完成
中西医优势互补,能让患者的健康更加获益。从病人决定接受手术治疗开始,到手术治疗直至康复,期间一附院院长谢胜多次带领中西医协同专家团队,现场为患者李某某把脉,看舌象,分析临床证候、核心病机和发病规律,制定个体化精准中药治疗方案,中西医协同专家团队共同探讨此次病人治疗瓶颈及困难,结合当前气运特点、病人的中医体质特点进行辨证论治开具方药。
患者术前胸闷,气喘,乏力,食少;术后体虚乏力,不欲饮食。谢胜院长在会诊时指出,患者久病体虚致肺胃亏虚,胃失和降,故治以宣发肺气,调畅气机,以和胃气之法。中西医协同专家团队指导科室通过中医药调理患者的脏腑,提高机体免疫力、改善脏器功能、促进正气恢复,减轻患者术后不适,充分发挥中西医协同在疑难危重症治疗和术后康复中的重要性。

围手术期一附院院长谢胜指导中西医协同诊疗
经术前精准辨证治疗,术后康复调理,患者得以迅速康复出院。患者本人及家属对此次中西医协同不开刀即顺利完成换瓣手术表示非常满意。
一附院作为广西首家开展TAVR的中医医院,TAVR技术辅以中医药协同,为患者提供了全方位、多靶点的整体治疗。在“一人一方”个体化中医治疗的协作下,患者李某某的康复体现了中西医协同疗效优势,意味着一附院实现了广西中西医协同治疗高难度复杂主动脉瓣重度狭窄患者的经皮主动脉瓣置换术(TAVR)的突破。

患者康复顺利出院
03
精技术、协中医 为广大心血管疾病患者造福音
据悉,目前全球已有多个国家成功开展了TAVR手术,但多数为欧美发达国家。全球目前每年完成TAVR数万例,并且每年以超过20%的速度增长,在美国和德国,每年完成的TAVR手术量甚至已经超过传统外科手术。此项技术的开展需要较高的技术门槛,并要有多学科的协作,所以在中国只有少数心脏中心可以开展。
一附院心血管内科二区是国家临床重点专科、国家中医药管理局重点学科,先后荣获由中华中医药学会颁发的“全国心血管疾病介入诊疗培训基地”,由国家心血管疾病临床研究中心及中华医学会心血管分会颁发的行业为数不多的国家标准化三大诊疗示范中心:国家标准化房颤中心示范中心、国家标准化胸痛中心示范中心、国家标准化高血压中心示范中心;多次荣获“中国中医医院最佳临床型专科心病科”。
近年来,科室主任何贵新教授带领科室团队出色地开展心血管疾病的诊疗、科研、教学工作,开展包括TAVR手术在内的多项新技术、新项目,填补了一附院技术空白,很好地推动了一附院心血管学科的发展,极大地增强了一附院心血管急危重症的抢救能力和服务社会能力。

心血管内科二区主任何贵新教授为患者看诊
同时心血管内科二区积极开展心血管内科领域各种疾病的中西医结合诊疗,包括冠心病(各种心绞痛、急性心肌梗死)、高血压、各种心律失常、各类结构性心脏病(先天性心脏病、心脏瓣膜病、心肌病、心包疾病等)、急慢性心力衰竭、各种心内膜炎、肺血管疾病(肺栓塞、肺动脉高压、各类肺血管畸形等)、起搏及电生理介入手术、周围血管的介入手术等心血管内科疾病的诊断与治疗和各种心血管的急、危、重症的抢救。
今年以来,一附院将强化中西医协同攻克重症疑难疾病作为医疗业务工作突破口,心血管内科二区在加强心血管疾病技术的同时,努力提高中西医结合医疗服务能力,积极探索运用中西医协同的方法和技术开展心血管内科疾病的诊治,推动中医药深度介入心血管重症疑难疾病全过程,此次中西医协同治疗主动脉瓣重度狭窄患者取得的成效,正体现了中西医协同治疗模式优势。

心血管内科二区团队
心血管内科二区本着“仁爱、敬业、精进、务实”的精神,致力在未来进一步发挥中医药在心血管重症疑难疾病救治中的协同作用,提高重症疑难病防治能力和临床疗效,竭诚为广大心血管疾病患者提供更优质的中医药服务与中西医协同诊疗服务。

单点登录
账号密码登录