宝爸宝妈们,可长点儿心吧!
误吞鱼刺、骨头等,导致食管堵塞,在广西国际壮医医院脾胃肝病科几乎每个月都能见到,年均接诊量约20例。
近日,脾胃肝病科又收治了1例这样的患者——误吞硬币的1岁小宝。这是科室开科以来,接诊的年纪最小的食管异物患儿。
1岁男孩误吞硬币
近日,李先生和余女士抱着哭闹不止、开始呕吐的儿子小宝,匆匆前来急诊科就诊。家长猜测,小宝出现这些情形,可能是吞食了一枚硬币。
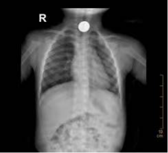
经胸片检查,小宝食管上段存在一圆形大小约20X20mm金属异物,很明显就是硬币。
脾胃肝病科一区副主任医师陈姗评估后发现,小宝仅有一岁,食道比较狭窄,硬币卡得紧。后期,随着人体的吞咽反应,硬币很有可能进一步下移划伤食管。最令人担忧的是,若硬币进入小肠,造成小肠梗阻,取出难度将直线上升。

小宝食管上段存在一圆形大小约20X20mm金属异物
5分钟胃镜手术,成功取出硬币
取出异物,并非难题,胃镜手术即可实现。
完善CT检查后,硬币所处具体位置明确。考虑到小宝年龄小,食管窄,且持续哭闹,配合度较低。为避免术中划伤食道,异物取出时掉入气道等危险,与麻醉科工作人员商讨后,陈姗决定在气管插管麻醉状态下施术。

脾胃肝病科团队正在实施手术
在胃镜的引导下,仅5分钟硬币便成功取出,食管无出血、穿孔等情况。
次日上午,小宝顺利出院。陈姗叮嘱李先生和余女士:“以后家里的小物件要收好,不能放在孩子伸手能够到的地方。”
成功取出硬币
别让异物进入食管,出现即刻找医生解决
食管异物可发生于任何年龄,多见于儿童和老人。一般为鱼刺、骨碎片等食物残渣,少量为果核、硬币、小玩具、针、假牙等物品,自伤者吞服碎玻璃、金属制品的情况也偶有发生。另外,病理性食管狭窄者的食道也会形成团块食物也可成为异物。异物停留在食管上段者为最常见,约占70%~80%。
陈姗表示,在生活中遇到误吞异物时,许多人的第一反应是,吞下食物、饮料等将异物挤入胃中,这极易对食管造成伤害,尤其是消化道较窄的小孩子,甚至可能造成消化道梗阻、穿孔、出血等情况,届时需要以外科手术解决。因此,当出现误吞异物时,应及时到医院就诊,必要时接受胃镜异物取出术,这是目前处理食管异物最安全、有效的方法。

硬币被取出后,小宝恢复了精神

单点登录
账号密码登录