附属国际壮医医院:路窄了不好走,腰椎管窄了那是根本不能走....
俗话说窄路难行,有些窄路,尚能将就着走,但这些“路”窄了,您别说领略蜀山锦绣了,就连站起来走两步都难。
今天咱们要讲的这个病例,就和走路有关。这位患者走不了路,不是因为路窄,而是因为腰椎管……
步行十米,腰腿疼到不行
2021年12月13日,47岁的李女士因“腰痛伴双下肢疼痛麻木”来到附属国际壮医医院疼痛科就诊。
据悉,李女士腰疼已有十几年,且病情逐年加重,近来,双腿也出现疼痛,行走时尤其难受,已经到了“走一步停一步”,“走十米就疼得走不动”的地步。
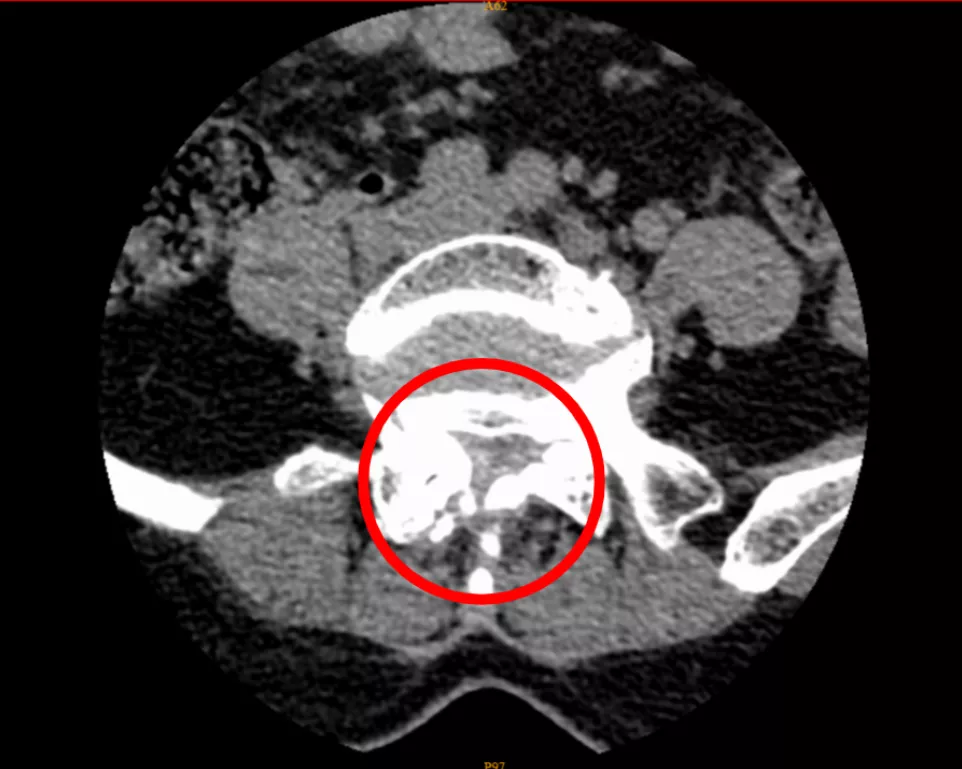
通过CT影像报告,疼痛科主任肖林发现了问题所在——腰椎管狭窄。

CT影像显示,李女士的腰椎管存在狭窄
肖林介绍,腰椎管是腰椎神经所在之处,腰椎神经支配着腰部及下肢关节,相当于城市中连接多个支干的主干道。腰椎管因髓核组织生长变狭窄后,便会压迫腰椎神经,使腰部产生强烈痛感,同时引起下肢疼痛。

肖林出诊
新技术+壮医药治疗,打造良好疗效
既然病因是腰椎管窄了,那咱们把它扩宽是不是就行了呢?莫非要在腰部行开放性手术?!!
“不用,这一回我们用的是新技术!”肖林说。该技术名“单侧双通道内镜技术”(以下简称“UBE技术”),简而言之,只需在患者腰部建立两个直径不到1cm的通道,将内镜和操作器械从通道放入狭窄的腰椎管,将脱出的髓核组织取出,便能改善腰椎管狭窄状况。
完善术前相关检查后,12月17日,肖林团队为李女士施术,以UBE技术成功扩宽了腰椎管,手术无血。术后,李女士腰腿疼痛缓解明显。

肖林正在为李女士清理腰椎管

术后,腰椎管狭窄改善
除手术治疗外,疼痛科团队还在术前、术后辅以壮医药熨、壮医敷贴等疗法,以促进其局部血液循环,在消肿、抗炎 、镇痛的同时,巩固手术疗效。
12月28日,李女士康复出院。
UBE技术“为狭窄而生”,且应用广泛
据了解,UBE技术可最大限度的清理腰椎管内的增生组织,且工作通道是借助脊柱天然解剖间隙建立,对椎旁肌肉损伤较少,具有疗效确切、创伤小、出血少、恢复好、并发症少等特点,深受患者好评,被称“为狭窄而生”的技术。
肖林表示,除了腰椎管狭窄外,UBE技术还可用于各种类型的常规间盘突出病例,尤其适合复杂椎间盘突出、腰椎滑脱、胸椎管狭窄、神经根性颈椎病、脊髓型颈椎病、胸椎管狭窄、脊柱翻修病例等复杂病例的治疗。“UBE疗效明显、微创安全,建议广大患者抛去对手术的恐惧,接受治疗,给自己一个远离疼痛的机会。”他说。

UBE技术

单点登录
账号密码登录