SOS!我脑壳里的血管“冒烟”啦!!!
乏力、健忘、视觉模糊、说话词不达意
大家是否遇到过?
是否认为这些是性格、体质和习惯
所导致的“正常状况”
根本不用在意?
NONONO!
对此
颅脑外科医生表示
绝不能不在意
因为有一种脑病
就隐藏在这些
我们自认为“正常”的状况之后
非常危险
肢体乏力竟与烟雾病有关
龚小姐现年30+,曾因“右侧肢体乏力”到广西国际壮医医院治疗。不过,她自己也不明白,肢体乏力怎么就变成了“烟雾病”,而且在内科治好的乏力,还得去外科继续治疗。这到底是怎么回事?
颅脑外科主任蔡利介绍,烟雾病是一种因颈脑血管狭窄或闭塞,脑内血管被迫发生代偿性扩张维持脑供血后出现的脑血管疾病,因患者脑底血管异常增生后,分布形态似烟雾而得名。烟雾病可导致血管生长发育异常和大脑缺血,进而对患者的神经、认知、肢体、视力等功能产生影响。

全脑血管造影检显示,龚小姐双侧颈内动脉末端存在闭塞,脑血管分布形似烟雾
对龚小姐而言,烟雾病导致的症状主要为肢体乏力,但蔡利注意到,她在交流过程中说话常常词不达意,也无法很好地控制声调,且生活中总爱忘事,用眼时也常感觉模糊不清,“这说明烟雾病依然在影响着她,病情没有根本性改善”。
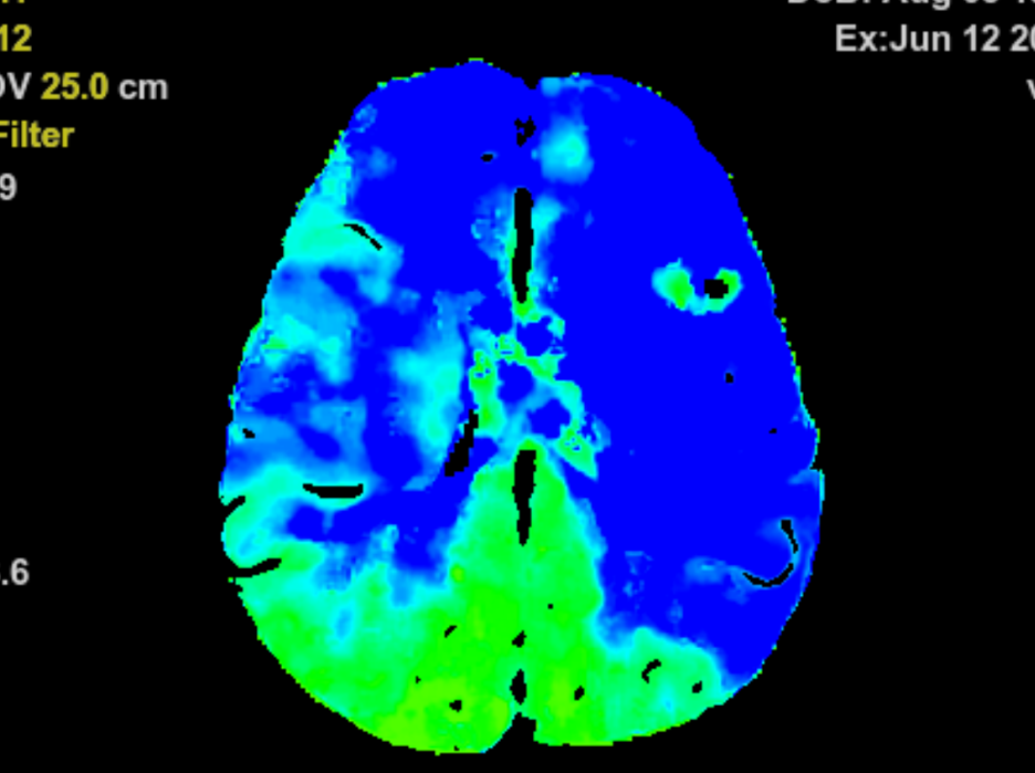
此外,通过经进一步检查,蔡利发现龚小姐的双侧颈内动脉存在严重的闭塞和脑底毛细血管增生,其中颈内动脉的供血量占脑部血液的80%,不解决闭塞状况其症状很可能会再次发作。“从脑血流灌注成像图可以看出,她的大脑血液灌注量低,迫切需要获得足够血液。”蔡利说。

术后脑血流灌注成像图显示,黄色和红色区域基本消失,大脑供血恢复明显
颅内外搭桥术疗效良好
经研究讨论,蔡利团队采取通过颅内外脑血管搭桥手术,为闭塞的脑血管建立供血通路,使其重新恢复供血能力。
如果将血管看做水管的话,该手术相当于在堵塞的粗水管上接入多个细水管来增加水流。手术全程在高倍显微镜下进行,在不超过直径1mm的血管上,均匀缝合12针,其精细度要求可想而知。
2小时后,新的供血通路成功建立。术后脑血流灌注成像图显示,此前的缺血区域供血基本恢复了正常。患者也表示,眼睛看东西清晰了很多,表明手术疗效初步显现。

术后脑血流灌注成像图显示,黄色和红色区域基本消失,大脑供血恢复明显
小状况不能太大意,烟雾病正隐藏其后
据了解,烟雾病可发生于所有年龄段,多见于儿童、青少年与青壮年。由于大脑长期缺血,患者神经功能(如认知、记忆力、肢体力量、视力、性格等)常会出现受损,导致生活质量下降,人生发展受到严重限制。更可怕的是,随着烟雾病程度加重,患者的智力也可能受到影响,甚至导致脑梗死、脑出血等致命状况。
目前,烟雾病的病因尚不明确,因此没有特别有效的预防方法,只能在颅脑外科医生对患者病情综合评估后实施专业治疗。大部分患者接受治疗后,脑功能可得到改善,受损神经功能明显恢复。
“面对烟雾病一定要早发现早治疗。”蔡利特别提醒,烟雾病发病初期症状轻微,难以被发现,他建议,当出现乏力、健忘、视觉模糊、说话词不达意等状况时,一定要提高警惕,到医院寻颅脑外科、脑病科医生就诊,并接受脑部CTA检查,一经确诊应按医嘱接受治疗。

蔡利正在实施颅内外搭桥手术

单点登录
账号密码登录